1. An Invisalign-certified practitioner takes records of the patient, including PVS impressions, intra and extra-oral photos and x-rays. The records are sent to Align Technology with the desired treatment goals.
What is Invisalign?

What is Invisalign?
Invisalign is the invisible way to straighten your teeth without braces. Invisalign uses a series of clear removable Aligners to straighten your teeth without metal wires or brackets. It has been proven effective in clinical research and in practices nationwide.
How Does Invisalign Work?
You wear each set of Aligners for about 2 weeks, removing them only to eat, drink, brush, and floss. As you replace each aligner with the next in the series, your teeth will move - little by little, week by week - until they have straightened to the final position your Invisalign provider has prescribed. You'll visit your doctor about once every 6 weeks to ensure that your treatment is progressing as planned. Total treatment time averages 9-15 months, and the average number of Aligners worn during treatment is between 18 and 30, but both will vary from case to case.
How Are Aligners Made?
You'd Be Amazed... The Aligners are made through a combination of your doctor's expertise and 3-D computer imaging technology.
The Invisalign System Process
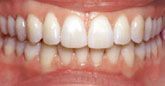
Case 1 - John: Crowding
Treatment Time: 10 months. Aligners used: 13 Upper, 18 Lower
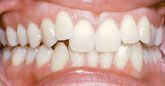
Case 2 - Jennifer: Crowding
Treatment Time: 22 months. Aligners used: 44 Upper, 27 Lower
Frequently Asked Questions
What is Invisalign?
Invisalign is the invisible new way to straighten teeth without braces. Invisalign uses a series of clear, removable Aligners to gradually straighten teeth, without metal or wires.
Does Invisalign really work?
Yes. In both clinical research and in orthodontic practices nationwide, Invisalign has been proven effective at straightening teeth.
How does Invisalign work?
Invisalign uses 3-D computer imaging technology to depict the complete treatment plan from the initial position to the final desired position from which a series of custom-made "Aligners" are produced. Each "Aligner" moves teeth incrementally and is worn for about two weeks, then replaced by the next in the series until the final position is achieved.
What are the primary benefits of Invisalign?
There are four primary benefits of Invisalign:
- Invisalign is nearly invisible - you can straighten your teeth without anyone knowing.
- Invisalign is removable - you can eat and drink what you want in treatment; you can also brush and floss normally to maintain good oral hygiene.
- Invisalign is comfortable - there are no metal brackets or wires to cause mouth irritation; no metal or wires also means you spend less time in the doctor's chair getting adjustments.
- Invisalign allows you to view your own virtual treatment plan before you start - so you can see how your straight teeth will look when your treatment is complete.
What are the Aligners made of?
Aligners are made of clear, strong medical grade plastic that is virtually invisible when worn.
What do the Aligners look like?
Aligners are nearly invisible and look similar to clear tooth-whitening trays, but are custom-made for a better fit to move teeth. Some practitioners have referred to them as "contact lenses for teeth." Is this a new way to straighten teeth? For years, orthodontists have used removable appliances for limited treatment. Today, with the application of computer technology, Invisalign treats a broader range of cases with greater precision.
Does insurance cover Invisalign?
Because medical benefits differ significantly from policy to policy, each patient should review their coverage. However, if a patient has orthodontic coverage, Invisalign should be covered to the same extent as conventional braces.
Where can I see pictures of finished Invisalign cases?
To see what just a few of the many thrilled Invisalign orthodontist's patients are saying about Invisalign, view The Results area.
Call 301-839-6330 for an appointment
Dental services provided by Dr. Morris: Click on links in box to learn more about each service.











